齐鲁医院安贵鹏副教授团队连续完成2例高难度经导管二尖瓣钳夹术
近日,山东大学齐鲁医院心血管内科安贵鹏副教授带领的多学科心脏团队成功应用经导管二尖瓣瓣膜夹系统(DragonFly)完成2例高难度二尖瓣钳夹术,2例均为二尖瓣重度功能性反流患者。经导管二尖瓣钳夹术(TEER)是一种新兴的二尖瓣反流治疗技术,近日多台TEER手术顺利完成展现了团队多学科之间的默契配合与高超技术,标志着山东大学齐鲁医院瓣膜疾病的介入治疗技术水平迈向了新的台阶。
第一位为69岁男性患者,1年半前活动后出现胸闷、憋喘,休息后可减轻,门诊诊为酒精性心肌病,建议戒酒并给予倍他乐克、螺内酯、诺欣妥等药物治疗,用药后症状稍缓解。2月前,患者因活动耐力明显减低,自诉步行20米后即出现憋喘并持续数分钟而再次就诊,入院后给予患者利尿、调脂、降压、改善心室重构等药物,治疗好转后出院。
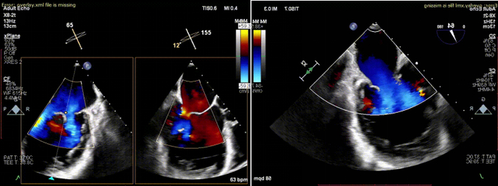
该患者为进一步治疗就诊于齐鲁医院心血管内科,初步诊断为酒精性心肌病、二尖瓣反流(重度)、射血分数减低型心力衰竭、心功能Ⅲ级(NYHA分级)、心律失常、短阵室性心动过速、冠状动脉粥样硬化等。术前心脏彩超经胸超声检查提示,二尖瓣重度反流4+,二尖瓣反流束宽度1.87cm,缩流颈宽度VC=0.7cm,有效反流口面积(EROA)=0.47,二尖瓣瓣口面积5.0cm。
安贵鹏组织并主持了术前病例讨论。心内科孟晓、董梅、刘祥娟,超声心动图刘艳、徐铭俊、曹媛,老年医学科郄良毅、崔晓霈和麻醉科刘德杰参加了讨论,对手术适应证,术中可能出现的并发症和应对策略进行了全面分析。经专家充分评估,决定实施经导管二尖瓣缘对缘修复术。
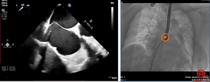
术中,患者全麻后,在经食道超声和DSA的引导下,经股静脉建立路径,穿刺房间隔,瓣膜夹通过输送系统送入左心房,顺利到达二尖瓣病变区域。在经食道超声和DSA的辅助下,术者通过反复评估二尖瓣反流位置、抓捕位置、反流程度、巧妙夹合,在A2/P2区植入2枚DragonFly夹子。术后,患者反流程度从4+转至1+,手术取得成功。
第二位为59岁女性患者,5年前出现活动后胸闷、憋气,当地医院就诊行冠脉造影示:LAD中段狭窄约40-50%,PD狭窄40%。按心力衰竭给予药物治疗,效果欠佳,仍反复多次住院治疗。4月前患者上述症状再次加重,伴有乏力,偶有夜间憋醒,外院就诊后症状无明显改善。初步诊断为:心肌病变、冠状动脉粥样硬化性心脏病、心律失常(心房颤动、频发室性早搏、短阵室性心动过速、室内传导阻滞)等。同时,有既往病史:高血压病史3年余;2型糖尿病1年余;甲状腺部分切除术后10年。
术前经胸心脏彩超和经食道超声提示:二尖瓣重度反流4+,反流束宽度=18.6mm,缩流颈宽度VC=0.8cm,有效反流口面积(EROA)=0.74,二尖瓣瓣口面积4.510cm。
安贵鹏手术团队术前组织了讨论,对手术适应证,术中可能出现的并发症和应对策略进行了全面分析。经专家充分评估,决定实施经导管二尖瓣缘对缘修复术。患者为功能性二尖瓣反流(FMR)Ⅲb型,基线期MR4+,反流束宽度=18.6mm反流位于2区且累及1区和3区;为保证反流程度有效降低,需要在2区植入两枚宽瓣膜夹。后叶有假腱索,瓣叶捞取有困难,因此手术存在较多挑战。
术中全麻成功后,穿刺右股静脉,在超声和射线辅助下成功穿刺房间隔。使用血管鞘相继扩张股静脉后,经超硬导丝导入24F导引鞘并且成功进入左房。在经食道超声辅助下,在2区成功夹闭二尖瓣返流区域,释放2枚二尖瓣瓣膜夹。
术后,患者反流程度从4+转至1+,即刻超声提示二尖瓣返流量下降到轻度,跨二尖瓣平均压差4mmHg。手术操作时间110分钟,透视时间总计为9分钟,手术取得成功。
二尖瓣反流是最常见的心脏瓣膜疾病。我国35岁及以上人群中检出率为18.4%,其中1.2%为中重度二尖瓣反流,且其检出率随年龄增长而增高。如治疗不及时,会导致患者出现心律失常、脑卒中、心力衰竭甚至猝死。二尖瓣重度反流的介入治疗一直是心血管介入领域的难点和热点,TEER已成为目前治疗二尖瓣重度反流的有效手段。
功能性二尖瓣反流是由于各种原因引起的左心扩张所导致的二尖瓣前后叶闭合不良,它常与射血分数减低型心力衰竭合并存在,并与心脏重构形成恶性循环,加速心力衰竭的发展。此类患者往往因心力衰竭过重很难耐受开胸二尖瓣手术,只能承受心力衰竭反复发作的痛苦。经导管二尖瓣钳夹术以微创的方式修复大量反流的二尖瓣,创伤小,手术时间短,术后并发症少,恢复快,可以明显改善患者的症状和预后,为广大心力衰竭患者带来了福音。
经导管二尖瓣钳夹术在国内尚处于起步阶段,需要多学科联合,手术过程复杂,仅有少数心脏中心有能力开展。此2例手术的成功实施,标志着齐鲁医院结构性心脏病团队在二尖瓣介入治疗领域达到了国内先进水平。
作者:刘红霞 通讯员:董梅 李小诗   编辑:颜甲 值班主任:颜甲






