告别“终身留存”,可降解封堵器为儿童室间隔缺损治疗开辟新路径
近日,济南市儿童医院心血管内科医疗团队成功为4名先天性心脏病室间隔缺损患儿实施了可降解封堵器植入手术,可降解室缺手术现已完成7例。术后患儿恢复良好,手术效果显著,这标志着医院在儿童先心病微创治疗领域迈入了新的台阶,为齐鲁地区先心病患儿带来了更优质的治疗选择。
创新技术:可降解封堵器让“心”缺口重获新生
室间隔缺损是儿童常见的先天性心脏病之一,若不及时治疗,可能导致患儿生长发育迟缓、反复肺部感染,甚至引发心力衰竭等严重并发症。传统的治疗方式多采用金属封堵器介入治疗,虽能有效封堵缺损,但金属异物需终身留存体内。可降解室间隔缺损封堵器,是目前国际上先进的微创介入治疗器械。该封堵器由生物可降解材料制成,在植入体内后,能迅速封堵心脏缺损,恢复正常血流动力学。随着时间的推移(通常1年),封堵器会逐渐被人体吸收降解,最终完全消失,避免了金属封堵器长期留存体内可能带来的潜在风险,为患儿的长远健康提供了更可靠的保障。
精湛医术:7例手术见证团队实力
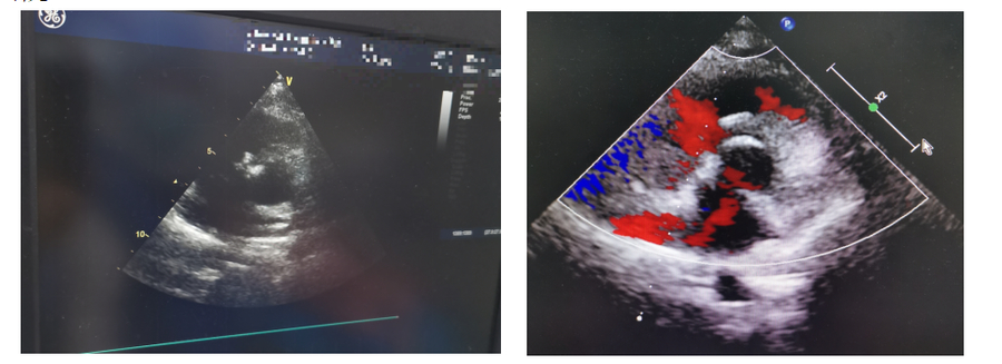
在过去的一段时间里,济南市儿童医院心血管内科李磊主任带领团队,凭借丰富的临床经验、精湛的介入技术和高度的责任心,成功为患儿实施了可降解封堵器植入手术。这些患儿年龄从2岁到9岁不等,术前经详细检查评估,均符合可降解封堵器治疗指征。手术在导管室进行,手术在超声引导下,医生通过股静脉或股动脉穿刺,将纤细的导管送达心脏缺损部位,精准释放可降解封堵器。整个手术过程创伤小、时间短,患儿术后恢复快,1周便顺利出院。
效果显著:患儿康复迎来新希望
术后随访结果显示,接受可降解封堵器治疗的患儿心脏功能均恢复良好,室间隔缺损处无残余分流,生长发育状况得到明显改善,生活质量显著提高。患儿家长们对治疗效果非常满意,感谢医院为孩子们带来了健康和未来。
手术的成功开展,不仅验证了可降解封堵器在儿童室间隔缺损治疗中的安全性和有效性,也体现了医院在儿童先心病诊疗领域的技术实力和创新能力。未来,科室将继续积累经验,推广应用这项先进技术,为更多先心病患儿提供更加安全、有效、人性化的治疗服务,守护儿童“心”健康,助力他们茁壮成长。
作者:李昆壕   编辑:高原 值班主任:颜甲






